L’épine calcanéenne ou l’enthésopathie calcanéenne
Etiologie = cause de la maladie
L’épine calcanéenne est, en général, la suite d’une enthésopathie calcanéenne. L’enthésopathie fait partie des tendinopahies.
Une tendinopathie est définie comme une sollicitation excessive du à un effort prolongé, un geste répétitif en force qui va fragiliser les tendons, ce qui produit une inflammation du tendon.
L’épine calcanéenne est une exostose, « un bout d’os qui se forme » dù à une tension chronique effectuée sur l’os par un fascia. Cette tension forme une inflammation et la douleur vient de là.
L’enthésopathie est une inflammation d’une partie du tendon. Un tendon est la partie terminale non extensible du muscle. C’est elle qui s’attache aux os.
Signes cliniques = Manifestions de la pathologie
Une épine calcanéenne se caractérise par une douleur sous le talon. Elle est présente lorsque le pied est « froid » = n’a pas bouger depuis un moment, et diminue avec l’activité. Le fait de poser le pied au sol pour se relever d’une longue assise ou le matin au réveil est douloureux.
La douleur peut se propager le long de la voute plantaire, vers les orteils et/ou remonter le long du tendon d’Achille.
Une épine calcanéenne peut aussi être rétro-calcanéenne. C’est -à-dire que la douleur se situe à l’arrière du talon.
Imagerie
Radio
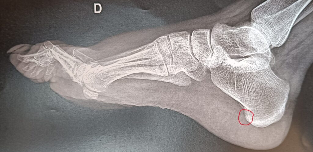
Une simple radiologie montre l’exostose en forme d’épine de rosier sur l’os du talon = calcanéum.
I.R.M = Imagerie par Résonnance Magnétique
L’I.R.M précise la taille du foyer inflammatoire. C’est-à-dire la taille de l’inflammation crée par la tension du fascia, voir si elle se propage à d’autres structures.
Appareillage possible
Le but des semelles orthopédique est de diminuer cette inflammation en évitant la tension et le poids du corps sur le talon. L’Orthopédiste-Orthésiste vous donnera des conseils pour le quotidien à coupler au port des semelles.
Traitement complémentaire
L’aide d’un kinésithérapeute peut être nécessaire si l’inflammation est importante.
Une injection ou une opération dans les cas les plus grave ou les plus long peut être envisagé. L’avis d’un chirurgien orthopédique est recommandé pour ces cas-là.
